
진료과목 소개

어떤 진료를 받게 될까요?
“ 저희가 직접 설명해 드리겠습니다. ”

01
임플란트

02
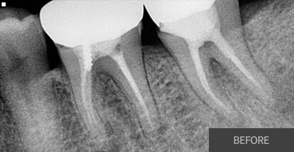
신경치료
재근관치료


만곡근관치료



03
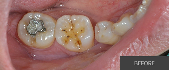
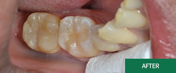
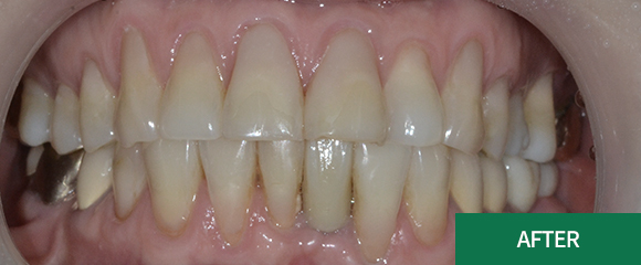
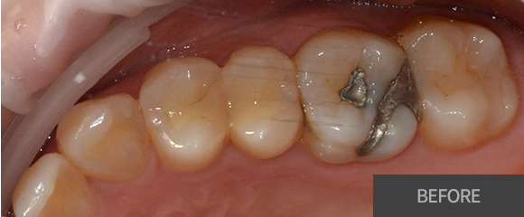
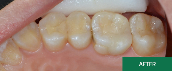
충치치료
레진




인레이


크라운



04
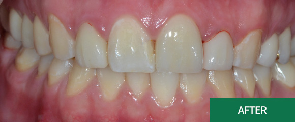
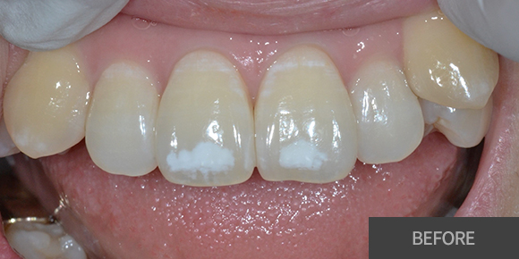
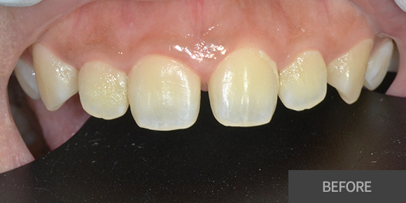
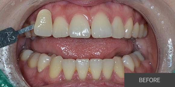
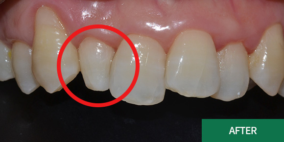
심미치료
심미레진






전체미백


실활치미백



05
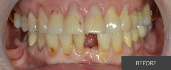
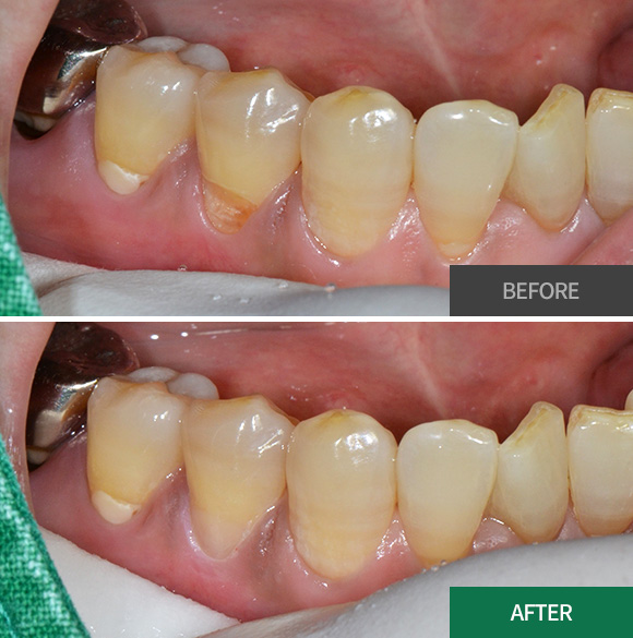
잇몸치료
잇몸치료가 전공 분야인 치주과 원장님께서
꼼꼼하고 꾸준하게 잇몸을 관리해드리고 있습니다.
대학병원에서 주로 시행하는 잇몸 수술까지도 가능한
전문의 원장님과 꾸준한 잇몸관리를 받으시길
바랍니다.

06
치경부마모증
치아의 옆 잇몸과의 경계부분이 패이면서
시린 증상이
발생하는 것을 치경부마모증이라고 합니다.
시린 증상이 있으시다면 진단받아보시는 것을
권장드립니다.

07
치아크랙 (금이 간 치아)
금이 간 치아는 진단이 어려운 경우가 매우 많고
예후도 다양하여 진단 및 치료가 어렵습니다.
보존과 전문의가 전문적이고 세심하게 진단하겠습니다.

08
치아외상
치아가 충격을 받아 부러지거나, 빠지거나,
민감한 상태가 되는 경우를 치아외상이라고 합니다.
치아외상은 치과보존과의 주요 전공분야로,
정석적이면서 다양한 치료법을 제시해 드리고
있습니다.